365日診療

ご予約はウェブで

またはお電話で

055-972-6770

〒411-0906

静岡県駿東郡清水町八幡61−1

 · 

犬の心タンポナーデについて ― 心臓を圧迫する危険な病気

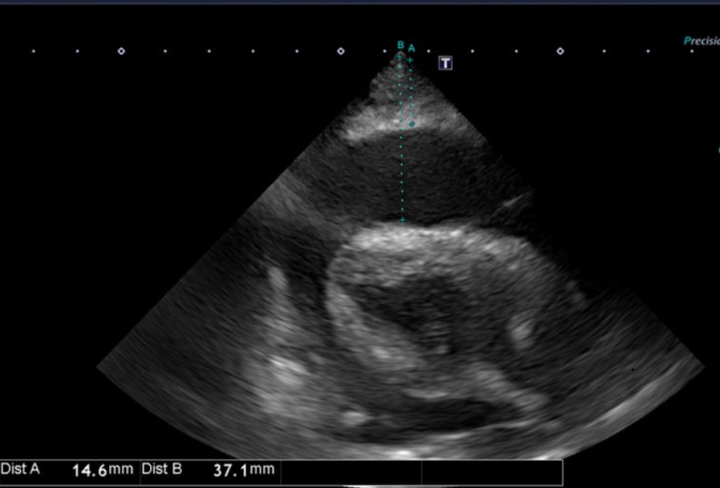
📷 写真で見る心タンポナーデ

上の画像は犬の心臓をエコー検査で撮影したものです。
心臓の周囲(心嚢腔)に液体がたまり、心臓が押しつぶされるように圧迫されています。
これが 心タンポナーデ と呼ばれる状態で、命に関わる危険な病態です⚠️


心タンポナーデとは?💡

心タンポナーデとは、心臓を包む膜(心嚢)に液体(血液や滲出液)が異常にたまり、心臓の動きが制限される状態です。
心臓は血液を送り出すポンプの役割を果たしていますが、心嚢内の圧力が高まると心臓が十分に拡張できず、全身に血液を送れなくなります。


主な原因🔍

  • 心嚢水貯留(腫瘍・感染・炎症による)

  • 心臓腫瘍(右心房の血管肉腫など)

  • 外傷による出血

  • 特発性(原因が特定できない場合も)


症状⚠️

  • 元気消失、ぐったりする

  • 呼吸が苦しそう💨

  • 腹水や胸水がたまる

  • 咳、食欲不振

  • 重症では失神や突然死のリスクも

心臓の拍動が弱まり、循環不全を起こすため、早急な対応が必要です。


診断🩺

  • 心エコー検査で心嚢内に液体が貯留しているのを確認(今回の画像のように黒く抜けて見える部分が液体)

  • 胸部レントゲン検査で心陰影の拡大

  • 心電図で低電位波や電気交互脈がみられることも


治療💊

  • 心嚢穿刺:針を用いて心嚢内の液体を抜き、心臓の圧迫を解除

  • 再発する場合は原因疾患(腫瘍や炎症)の治療が必要

  • 外科手術(心膜切除)を行う場合もある

治療後は再発防止のため、定期的な心エコー検査で経過観察を行います。


飼い主さんへのお願い🙏

心タンポナーデは突然命に関わる状態になる病気です。
「呼吸が苦しそう」「すぐ疲れる」「元気が急になくなった」などの症状があれば、放置せずに早急に動物病院を受診してください。

早期に診断・治療を行えば救命できる可能性があります。


📞 ご予約・お問い合わせはこちら
📍365日診療のガレン動物病院
獣医外科認定医(JAHA)獣医腫瘍科認定医在籍
平日・土日・祝日すべて診療しております。

👉 ネット予約 ▶︎ https://pet.apokul.jp/web/390/reservations/add
📱 電話 ▶︎ 055-972-6770

 

🚗 対応エリアのご案内
三島市・沼津市・函南町・長泉町・裾野市・伊豆市・御殿場市・富士市・静岡市・箱根町など、
静岡県東部・神奈川県西部エリアからも多くの飼い主さまにご来院いただいています。

ウェブで診療予約