
📷 レントゲンで見る馬尾症候群
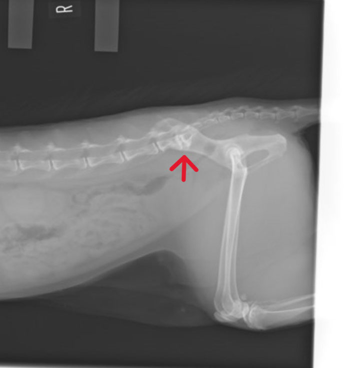
上の写真は猫の腰から尾にかけてのレントゲン画像です。
赤い矢印の部分(腰の一番後ろの骨〜尾の付け根)で神経が圧迫されており、馬尾症候群が疑われる所見です。
馬尾症候群は、**脊髄の末端(馬尾神経)**が圧迫されて起こる病気で、痛みや神経症状、排泄のコントロール異常を引き起こします。
馬尾症候群とは?💡
「馬尾(ばび)」とは、脊髄の末端から分かれて尾や後肢、膀胱などへ向かう神経の束のことを指します。
この部分が椎間板ヘルニア・変形性関節症・外傷などで圧迫されると、痛みや運動障害が起こる状態を「馬尾症候群」と呼びます。
主な症状⚠️
-
尾の付け根を触ると痛がる・怒る😿
-
トイレで排尿・排便がしづらそう
-
尾の動きが鈍い、垂れ下がる
-
後ろ足のふらつき、歩行異常🐾
-
ひどい場合は失禁や排便失調
一見「腰痛」や「便秘」と間違われることもありますが、神経障害が関係していることがあります。
原因🔍
-
椎間板の変性(ヘルニア様変化)
-
骨の変形(変形性脊椎症)
-
外傷(転倒・交通事故など)
-
腫瘍による神経圧迫
年齢とともに起こるケースもありますが、若い猫でも事故や落下がきっかけで発症することがあります。
診断🩺
-
レントゲン検査:骨や椎間の変形を確認
-
CT/MRI検査:神経圧迫の程度を詳しく評価
-
神経学的検査:反射や痛みの反応を確認
正確な診断には、CTやMRIなどの高度画像検査が有効です。
治療法💊
症状の重さによって治療が異なります。
🐾 軽度の場合
-
鎮痛剤や消炎剤で痛みをコントロール
-
生活環境の改善(段差を避ける、安静にする)
🐾 重度の場合
-
外科手術による神経の減圧
-
リハビリや排泄管理が必要になることもあります
飼い主さんへのお願い🙏
馬尾症候群は、早期に診断・治療することで痛みを和らげ、排泄機能を守ることができます。
「尻尾を触ると嫌がる」「トイレに時間がかかる」「足元がふらつく」などの症状が見られたら、早めに受診してください。
📞 ご予約・お問い合わせはこちら
📍365日診療のガレン動物病院
獣医外科認定医(JAHA)獣医腫瘍科認定医在籍
平日・土日・祝日すべて診療しております。
👉 ネット予約 ▶︎ https://pet.apokul.jp/web/390/reservations/add
📱 電話 ▶︎ 055-972-6770
🚗 対応エリアのご案内
三島市・沼津市・函南町・長泉町・裾野市・伊豆市・御殿場市・富士市・静岡市・箱根町など、
静岡県東部・神奈川県西部エリアからも多くの飼い主さまにご来院いただいています。