365日診療

ご予約はウェブで

またはお電話で

055-972-6770

〒411-0906

静岡県駿東郡清水町八幡61−1

 · 

犬の子宮蓄膿症について ― 命に関わることもある危険な病気

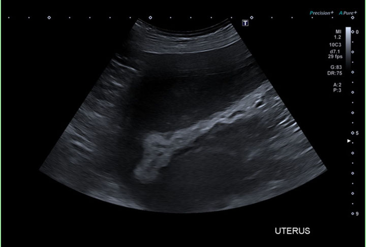
📷 写真で見る子宮蓄膿症

上の画像は、大型犬の子宮をエコー検査所見です。
黒く太い部分が拡張した子宮で、内部に液体(膿)がたまっています。
これは典型的な 子宮蓄膿症(しきゅうちくのうしょう) の所見です。


子宮蓄膿症とは?💡

子宮蓄膿症は、子宮の中に細菌が感染して膿がたまる病気です。
避妊手術をしていない中高齢のメス犬で多く見られます。
発症すると短期間で全身状態が悪化し、命に関わることもある危険な病気です⚠️


主な症状⚠️

  • 元気がなくなる😔

  • 食欲低下

  • 水をたくさん飲む・おしっこの量が増える💧

  • 嘔吐や下痢🤮

  • 陰部から膿や血の混じったおりものが出る

  • 発熱、脱水、震え

  • 重症ではショック状態になることも

症状が急に現れることも多く、「昨日まで元気だったのに…」というケースもあります。


なぜ起こるの?🔍

発情後に黄体ホルモン(プロゲステロン)が分泌されると、子宮の内側が分厚くなり、細菌が繁殖しやすい環境になります。
そこに腸内細菌などが感染し、膿がたまってしまうことで発症します。

避妊手術をしていない犬では、年齢とともに発症リスクが高まります。


診断方法🩺

  • 血液検査:白血球数や炎症反応の上昇を確認

  • レントゲン・エコー検査:子宮の拡張、内部に液体がたまっている様子を確認(今回の画像のように)

  • 膿の検査:細菌の種類や重症度を把握


治療法💊

最も確実な治療は 子宮と卵巣の摘出手術(避妊手術) です。
手術によって感染源を取り除くことで、再発を防ぐことができます。

状態が悪い場合は、手術前に点滴や抗生剤で全身を安定させてから行います。
一部の軽症例では薬による治療を選択することもありますが、再発のリスクが非常に高いため、基本的には外科手術が推奨されます。


予防法✨

子宮蓄膿症は、避妊手術で確実に予防できる病気です。
若いうちに手術を受けておくことで、将来的なリスクを大幅に減らせます。


飼い主さんへのお願い🙏

「食欲がない」「水をよく飲む」「陰部からおりものが出る」などのサインがある場合は、すぐに動物病院を受診してください。
早期発見・早期治療で助かる命が多くあります。


📞 ご予約・お問い合わせはこちら
📍365日診療のガレン動物病院
獣医外科認定医(JAHA)獣医腫瘍科認定医在籍
平日・土日・祝日すべて診療しております。

👉 ネット予約 ▶︎ https://pet.apokul.jp/web/390/reservations/add
📱 電話 ▶︎ 055-972-6770

 

🚗 対応エリアのご案内
三島市・沼津市・函南町・長泉町・裾野市・伊豆市・御殿場市・富士市・静岡市・箱根町など、
静岡県東部・神奈川県西部エリアからも多くの飼い主さまにご来院いただいています。

ウェブで診療予約